Pet Dental Care
Prevent dental disease and teeth loss
Dental care is an essential part of your pet’s overall health. When oral hygiene is neglected, pets can develop dental disease which negatively affects other systems in the body and may lead to tooth loss.
A pet's dental health is just as important as their physical health, however, it often goes overlooked. The reality is that oral hygiene plays a huge part in ensuring your pet lives a long, healthy life.
Learn more about our pet dental care services:
Preventive Dental Care
Routine dental care matters.
Dental Surgery
Pet tooth fractures and dental disease care.
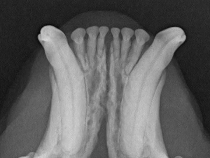
Digital Dental Radiology
Insight into underlying issues.


